ALPARSLAN DİYARI-Valilikten yapılan açıklamaya göre, İl Emniyet Müdürlüğü Narkotik Suçlarla Mücadele Şubesi ekipleri, uyuşturucu sevkiyatını engellemek için çalışmalarını sürdürüyor.

İran uyruklu 2 şüphelinin illere uyuşturucu taşıyacağı ihbarı üzerine çalışma başlatıldı.
6 Aralık'ta uygulama noktasında şehirler arası yolcu otobüsünde yapılan denetimlerde yabancı uyruklu 2 şüpheli gözaltına alındı.
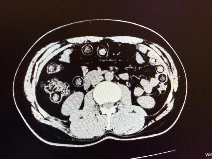
Muş Devlet Hastanesi'ne götürülen şüphelilerin yapılan kontrollerinde midelerinde uyuşturucu olduğu belirlendi.

Şüphelilerin midesinden 94 kapsül içerisinde 928 gram sentetik uyuşturucu ele geçirildi.
İran uyruklu şüpheliler, mahkemece tutuklandı.
KAYNAK:AA


